【导读】
人类社会自上世纪90年代进入“全球老龄化”,人口老龄化使得老年人群极易患上骨质疏松症和关节炎,载药聚甲基丙烯酸甲酯(PMMA)骨水泥作为“黄金标准”虽然广泛应用于椎体成形术及关节置换术等领域,但存在着药物释放周期与临床需求不匹配,药物释放率低,治疗效果单一等问题。根据临床上载抗生素骨水泥的需求可知,体系内的抗生素在4-6周内的持续控制释放能够有效地预防感染和新的耐药菌株的生长,而正常骨愈合的周期一般为3个月,因此研发一种能够匹配上述治疗周期的具有长效抗生素及抗骨质疏松释放的可膨胀骨水泥对于提高治疗锥体压缩性骨折及关节置换术的效果具有重要的意义。
【成果掠影】
西安理工大学汤玉斐教授团队和空军军医大学吴子祥教授团队联合攻关,基于目前临床使用最为广泛的PMMA骨水泥设计了一种长效释放多种药物的智能药物输送系统,并重点研究了抗生素(硫酸庆大霉素,GS)和抗骨质疏松药物(阿仑膦酸钠,ALN)的长效缓释性能及释药机制。本研究通过溶液聚合法制备了不同粒径的载药P(MMA-AA)-ALN纳米微球,利用包埋载药方式以减缓ALN的释放速率,将其与GS加入到PMMA骨水泥中,保留了传统骨水泥中抗生素的搭载方式的同时,体系中的两种药物利用复合骨水泥快速吸水膨胀过程中形成的吸水通路反向释药,实现了骨水泥中两种药物的长效分级缓释。此外,该材料展现出优异的体外细胞活性及体内组织相容性,因此在骨修复领域具有广阔的应用前景。
相关论文以题为“Self-expanding PMMA composite bone cement with sustained release of gentamicin sulfate and alendronate using water absorption pathways”发表在Materials & Design期刊上。论文第一作者为西安理工大学青年教师陈磊,通讯作者为西安理工大学汤玉斐教授,空军军医大学西京医院吴子祥教授,合作者还包括西安理工大学赵康教授,姚秉华教授,余晓皎教授。
【核心创新点】
- 揭示硫酸庆大霉素和阿仑膦酸钠利用吸水通路释放的机制。
- 通过复合骨水泥内P(MMA-AA)-ALN纳米微球与GS静电吸附促进了抗生素和抗骨质疏松药物的长效释放。
- 实现聚甲基丙烯酸甲酯骨水泥中两种药物的分级长效释放,有效预防细菌感染和耐药菌株生长的同时为骨修复提供长期的保障。
【数据概览】

图1 (a) ALN、P(MMA-AA)和P(MMA-AA)-ALN的红外图谱;(b) P(MMA-AA)-ALN的化学结构。

图2 不同PVP含量的P(MMA-AA)-ALN的微观形貌和粒径分布:(a) 5%;(b) 6%;(c) 7%;(d) 8%;(e) 9%;(f) 10%。

图3 不同组分复合骨水泥的吸水性能: (a) 在PBS中的动态吸水倍率; (b) 在SBF中的动态吸水倍率; (c) 在PBS和SBF中的平衡吸水倍率; (d) 吸水动力学。

图4 不同组分骨水泥的膨胀性能: (a) 动态膨胀倍率; (b) 平衡膨胀倍率; (c) 膨胀速率。

图5 不同组分骨水泥中GS的释放性能: (a) 累积释放率; (b) 平衡释放率; (c) 累积释放浓度。

图6 不同动力学模型下的GS释放拟合: (a) 零阶模型; (b) 一阶模型; (c) Higuchi模型; (d) Korsmeyer-peppas模型。

图7 不同组分骨水泥中ALN的释放性能: (a) 累积释放率; (b) 平衡释放率。

图8 不同动力学模型下的ALN释放拟合: (a) 零阶模型; (b) 一阶模型; (c) Higuchi模型; (d) Korsmeyer-peppas模型。

图9 复合骨水泥在PBS中浸泡不同天数后的力学性能: (a) 抗压强度; (b) 弹性模量。

图10 不同组分骨水泥的抗菌活性:(a) 对金黄色葡萄球菌和大肠杆菌的抗菌能力; (b) 对金黄色葡萄球菌的抑菌环直径;(c) 对大肠杆菌的抑菌环直径。

图11 成骨细胞与PMMA骨水泥及复合骨水泥共培养1、3和5天后的细胞荧光显微图(红色:细胞骨架,蓝色:细胞核)。

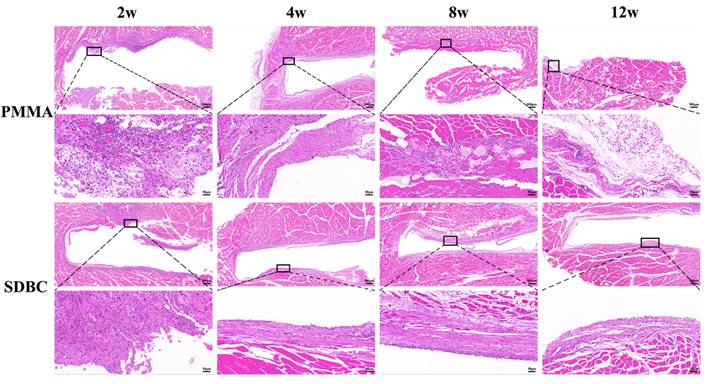
图12 植入兔子体内12周后PMMA骨水泥及复合骨水泥周围肌肉组织的H&E染色图像。
【总结与展望】
本研究为了解决载药PMMA骨水泥释药率低,释药周期与临床需求不统一,释药种类单一等问题,通过溶液聚合法得到了不同粒径的P(MMA-AA)-ALN纳米载药微球,在保留骨水泥传统载抗生素方式的同时,利用由P(MMA-AA)-ALN构建的吸水网络反向释药得到快速膨胀且具有长效释药的功能化PMMA骨水泥。结果表明制备的纳米载药微球粒径为269.49 ± 74.55 nm-981.91 ± 146.36 nm,体系内的硫酸庆大霉素和阿仑膦酸钠的释放机制为F菲克扩散,两者的累计释放率最高可达74.67 ± 1.02 %和75.23 ± 1.96 %,释放周期分别为4周及15周,实现了两种药物的分级长效释放。此外,复合骨水泥具有快速的吸水膨胀能力,固化前的最高吸水和膨胀倍率分别为55.42 ± 1.01 %和72.73 ± 1.35 %。复合骨水泥具有满足ISO5833-2002的力学性能,对大肠杆菌及金黄色葡萄球菌都具有良好的抗菌能力。体外细胞实验及体内动物实验共同证明复合骨水泥具有良好的生物相容性。因此,该复合骨水泥是一种具有与临床上药物释放需求相匹配的功能化骨水泥,在骨修复领域具有广阔的应用前景。
文章链接:https://doi.org/10.1016/j.matdes.2022.111081
DOI:10.1016/j.matdes.2022.111081
本文由作者供稿





