【引言】
健康的内皮细胞对于重要的生理功能是必不可少的,包括止血、免疫反应、组织生长和血管调节。然而,功能不全的内皮是许多疾病的标志,包括周围血管疾病、中风、高血压、动脉粥样硬化、糖尿病、器官衰竭、某些类型的感染和癌症。对于这些疾病中的许多有效的以内皮细胞为中心的治疗方法可以改善患者的病况。其中一种方法就是RNA干扰(RNAi),一种使用小干扰RNA (siRNA)的技术。RNAi可用于抑制内皮中异常基因的表达。然而,要充分发挥这类干预的治疗潜力,首先必须确保siRNA的优先输送到内皮细胞。尽管最近的一些报告显示了纳米颗粒的发展状况,且纳米颗粒能够在非人类灵长类动物和人体内系统注射siRNA,但是这些纳米颗粒主要将siRNA传递给肝细胞和骨髓细胞,而不是内皮细胞。故而,一种纳米粒子系统能够在全身用药之后,能在多个非人类灵长类器官(肺脏、心脏、肾脏和视网膜)的内皮细胞中获得选择性的siRNA是一个好的研究方向。
【成果简介】
近日,美国的戴维·h·科赫综合癌症研究所的Piotr S. Kowalski教授和Joshua C. Doloff教授(共同通讯作者)等报道了通过将低分子、可形成纳米颗粒的可电离聚合物7C1传递给小干扰RNA (siRNA),实现了非人类灵长类动物内皮细胞有效的基因沉默。在每公斤动物静脉注射1 mg siRNA后,7C1纳米颗粒递送Tie2 siRNA导致肺内皮中Tie2 mRNA的水平下降了大约80%。在心脏、视网膜、肾脏、胰腺和骨骼中也发现了Tie2 mRNA的显著下降。治疗前后血液化学及肝功能分析均显示蛋白及酶浓度均在正常参考值范围内。此外,在控制了sirna特异性作用后,血清中炎症细胞因子浓度没有显著增加。同样,在对非人类灵长类组织进行组织学检查后,没有发现任何严重的病变或明显的潜在病理。这项研究是首次使用全身用药的siRNA纳米颗粒在多个非人灵长类动物器官中证实内皮基因沉默,并强调了这种方法在治疗人类疾病方面的潜力。研究成果以题为“Endothelial siRNA delivery in nonhuman primates using ionizable low–molecular weight polymeric nanoparticles”发布在国际著名期刊Sci. Adv.上。
【图文导读】
图一、7C1的描述及在非人灵长类动物体内疗效

(a) 7C1 siRNA纳米颗粒的示意图;
(b) 定量基因2.0法测定7C1-Tie2 siRNA纳米颗粒静脉注射后48 h,非人类灵长类组织Tie2 mRNA水平为1 mg/kg;
(c) CD31+(内皮细胞)中Tie2+的百分比。
图二、7C1 siRNA治疗前后的非人类灵长类动物血液化学和肝功能数据

图三、7C1 siRNA纳米颗粒处理后非人类灵长类动物血清中炎症细胞因子浓度的变化

(a) Tie2 siRNA治疗后,不同时间点的情况;
(b) 用Luc控制siRNA治疗。
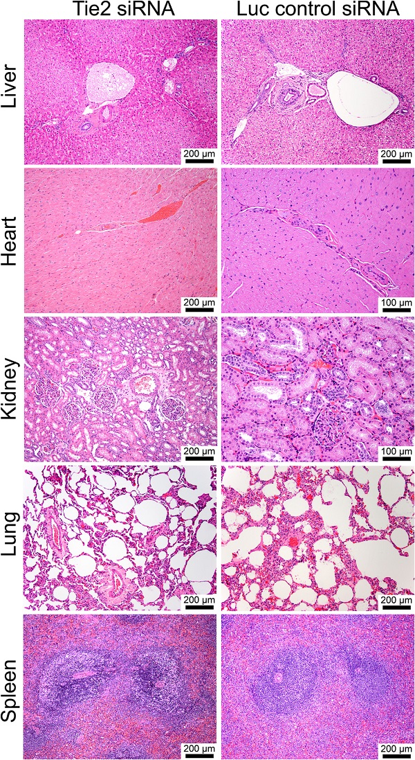
图四、非人类灵长类组织中的一个子集的代表性的后治疗组织学图像

【小结】
在非人类灵长类动物的早期的转化研究表明,由可电离的低分子量聚合物7C1和siRNAs制成的纳米颗粒可以诱导多器官内皮中的RNAi。最大数量的基因敲除在肺和心脏被观察到,这与以前的啮齿动物研究很一致。此外,在视网膜、肾脏、胰腺和骨骼的脉管系统中发现了有效的基因敲除,有可能为这些器官和组织创造新的以血管为中心的、基于RNA的治疗方法。此外,在1 mg/kg的剂量下,在肝脏内皮细胞中没有观察到有统计学意义的敲除,有助于避免肝相关的靶外效应。此外,在这些研究过程中没有发现急性毒性的迹象,且此次研究提供了新的证据,证明使用全身用药的siRNA纳米颗粒,在大型非人灵长类动物中,有内皮基因沉默现象。
文献链接:Endothelial siRNA delivery in nonhuman primates using ionizable low–molecular weight polymeric nanoparticles(Sci. Adv., 2018, DOI: 10.1126/sciadv.aar8409)
本文由材料人生物材料组小胖纸编译。
材料牛网专注于跟踪材料领域HTH官网地址 及行业进展,这里汇集了各大高校硕博生、一线科研人员以及行业从业者,如果您对于跟踪材料领域HTH官网地址 进展,解读高水平文章或是评述行业有兴趣,点我加入材料人编辑部。
欢迎大家到材料人宣传HTH官网地址 成果并对文献进行深入解读,投稿邮箱tougao@cailiaoren.com.
投稿以及内容合作可加编辑微信:cailiaokefu.
材料测试,数据分析,上测试谷!





