【背景介绍】
在过去的十多年里,纳米技术在疫苗学中得到了广泛应用,由此研制的纳米疫苗在乙肝、流感、艾滋病毒及肿瘤等传染病和重大疾病的预防和治疗中展现出了广阔的应用前景。相比于纯抗原疫苗,纳米疫苗的优势主要包括:(1)纳米载体可避免抗原被快速降解,提高了疫苗制剂的稳定性;(2)提供良好的佐剂性能,促进抗原提呈细胞的激活;(3)纳米尺寸增强了抗原在淋巴结的富集,进一步提升其免疫应答能力。近年来,许多新型无机和有机纳米颗粒(NPs)(如金纳米颗粒、硅基纳米颗粒、脂蛋白纳米盘和纳米凝胶等)在纳米疫苗的开发中取得了令人瞩目的成果。然而这些纳米疫苗制备技术都需使用化学合成方法,或者需要进一步将合成方法与基于细胞的半生物合成步骤相结合,制备工艺较为繁琐,抗原的活性无法有效保证。利用工程化的细菌或哺乳动物细胞只需一步即可实现蛋白质的合成,由此开发的如病毒样颗粒、铁蛋白等生物合成的蛋白纳米疫苗不仅具有生产时间短、成本低等优点,还具有更高的生物相容性和安全性。然而,该策略仍然面临抗原装载率低,难以偶联具有复杂结构的多糖抗原等技术难点。
【成果简介】
近日,北京生物技术研究所的王恒樑研究员和朱力副研究员、中科院过程工程研究所的马光辉研究员和魏炜研究员(共同通讯作者)等人报道了一种Nano-B5平台,用于生物体内一步合成完全基于蛋白质的、自组装的、稳定的纳米疫苗。该平台由细菌AB5毒素(能够与细胞表面受体神经节苷脂结合)和非天然三聚体肽融合表达后自组装而成,采用蛋白融合或糖基化修饰策略,可以在普通大肠杆菌菌株和减毒病原菌株中生产负载多肽、多糖等不同类型抗原的纳米疫苗。特别值得注意的是,这些纳米疫苗不仅具有高效的抗原负载能力,其蛋白骨架本身还具有免疫刺激剂作用,能够快速激活抗原提呈细胞,强化免疫应答水平。在小鼠和猴子等多种动物模型中,该纳米疫苗都展示出了优异的淋巴结靶向能力、高效的免疫应答水平以及良好的生物安全性,证明了其在传染病预防以及肿瘤治疗中的积极作用。此外,Nano-B5平台可以实现蛋白骨架与抗原货物的模块化组装,可用于新型疫苗的按需快速构建。研究成果以题为“Biosynthesis of Self-Assembled Proteinaceous Nanoparticles for Vaccination”发布在国际著名期刊Adv. Mater.上。
【图文解读】
图一、设计用于体内生产模块化和自组装的纳米疫苗
(a)纳米疫苗的模块化设计方案及其多样化的应用配置;
(b)体内表达负载不同类型抗原的纳米疫苗的示意图;
(c)在免疫接种后,纳米疫苗迅速引流至淋巴结并激活APC,诱导产生高效的体液和细胞免疫反应。
图二、各种自组装蛋白质纳米颗粒的制备和表征
(a)对照细胞和表达纳米颗粒的细胞的TEM图像,免疫荧光法检测表达蛋白;
(b)纯化的纳米颗粒的TEM图像,以及纳米颗粒单体的SDS-PAGE分析;
(c)纳米颗粒溶液的丁达尔效应及其在室温下放置48 h前后的粒径分布;
(d)对单体自组装成多面体颗粒的模型结构进行分子动力学模拟;
(e-f)用AB5毒素的其它B亚单位(LTB和StxB)替换CTB,通过考马斯亮蓝染色和免疫印迹分析单体以及通过DLS对颗粒进行表征。
图三、偶联不同抗原的纳米疫苗的表征
(a)糖基化NPs的TEM和SEM图像及其粒径分布;
(b)通过考马斯亮蓝染色和免疫印迹检测糖蛋白;
(c)串联质谱(MS/MS)分析糖基化NP的OPS部分;
(d)检测纳米颗粒对GM1的结合亲和力;
(e)通过体内糖基化将甲型副伤寒沙门氏菌多糖结合至NP底盘,及该多糖疫苗的表征;
(f)NP C-端融合OVA的SIINFEKL肽段后的表征。
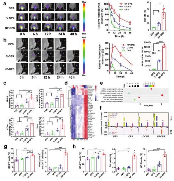
图四、纳米疫苗增强淋巴结的靶向并引发高效的免疫激活
(a-b)不同时间点,不同疫苗在注射部位和引流淋巴结(dLNs)中的荧光成像图片和相应的定量荧光分析;
(c)疫苗接种24 h后,dLNs内DCs的MHC分子和共刺激分子的表达;
(d)DCs在体外培养,经不同的刺激处理后,免疫相关指标的转录水平变化;
(e)体外DCs经NP-OPS刺激后,转录组测序并对免疫相关途径的KEGG富集分析;
(f)转录组测序结果中不同细胞因子的表达情况;
(g)接种3天后,dLNs中CD8+T细胞的比例以及CD8+T细胞中表达颗粒酶B (GrB)的细胞比例;
(h)接种3天后,dLNs细胞中CD4+T细胞的比例以及接种7天后dLNs中滤泡T细胞(Tfh)和生发中心B细胞的比例。
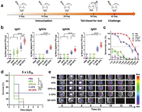
图五、纳米疫苗诱导针对细菌感染的强力预防作用
(a)评估纳米疫苗预防性能的免疫流程图;
(b)用PBS、OPS、OPS+Al(氢氧化铝)、C-OPS、NP-OPS免疫的BALB/c小鼠后检测血清中抗福氏志贺氏菌2a型301株的LPS的IgG亚型效价;
(c)(b)中血清经不同稀释度处理后的血清杀菌活性;
(d)在末次免疫两周后,利用301野生株对小鼠进行腹腔攻毒(每只小鼠约4.35×107 CFU感染量),观察小鼠存活情况;
(e)通过腹膜内注射荧光素酶标记的福氏志贺氏菌2a型301株观察免疫小鼠的体内杀菌活性。
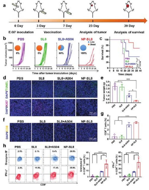
图六、负载OVA SL8肽的纳米疫苗通过诱导强烈的细胞免疫应答来抑制肿瘤生长
(a)评估纳米疫苗肿瘤治疗效果的流程图;
(b)不同治疗组中小鼠的生长曲线;
(c)(b)中各组小鼠的存活时间;
(d)肿瘤组织的凋亡和增殖的免疫荧光切片;
(e)23天时各组小鼠的肿瘤重量;
(f)肿瘤组织中浸润的CD8+T细胞的免疫荧光切片;
(g)肿瘤中CD8+T细胞的比例;
(h)肿瘤组织中浸润的CD8+T细胞中分泌颗粒酶B和IFN-γ的细胞百分比。
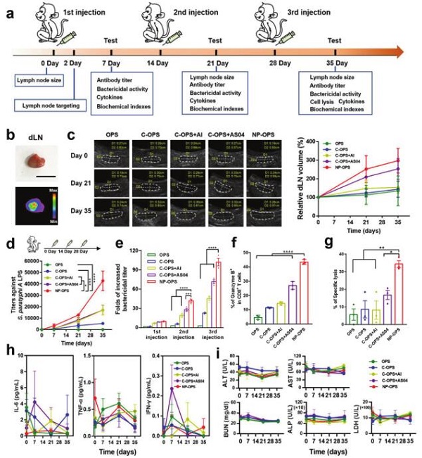
图七、在食蟹猴中评估纳米疫苗的性能
(a)在食蟹猴中评估治疗方案的示意图;
(b)纳米疫苗递送至引流淋巴结(dLNs);
(c)在不同疫苗免疫后,dLNs的大小变化;
(d)针对甲型副伤寒沙门氏菌CMCC 50973株的LPS的IgG效价评价;
(e)抗体诱导的针对甲型副伤寒沙门氏菌的血清杀菌作用;
(f)血液中CD8+T细胞中颗粒酶B的表达;
(g)细胞毒性T细胞对感染细胞的裂解能力;
(h-i)纳米疫苗的安全性评价。
【小结】
综上所述,该工作表明此纳米疫苗在灵长类动物和小鼠中均具有很高的安全性,并且在高效激发机体免疫应答方面优于常规疫苗。作为一项创新技术,纳米疫苗中的多糖抗原是由细菌自身合成,可确保其天然构象并保持抗原的保真度,有利于激发特异性免疫反应。将来,研究人员将进一步测试该纳米疫苗对难以用抗生素治疗的多重耐药细菌和胞内细菌的预防能力。同时,作者证实了大分子量多糖链(超过30 kDa)与纳米颗粒的成功连接,为更长的肽段甚至蛋白质结构域在纳米平台表面的展示提供了理论基础。针对SARS-CoV-2对公共健康的威胁,作者认为该Nano-B5底盘也可以通过展示S蛋白的受体结合结构域,用作快速开发有效的抗病毒纳米疫苗的工具。另一方面,基于Nano-B5的模块化设计,有助于淋巴结靶向的多抗原纳米疫苗的研制。此外,考虑到这些模块设计最终被编码为稳定的DNA,因而可适用于潜在的多种不同细胞宿主,并进行分析、测试和应用,,而这些底盘本身也可以通过工程设计以支持多种功能化修饰,从而提高特异性和改善疫苗性能。
文献链接:Biosynthesis of Self-Assembled Proteinaceous Nanoparticles for Vaccination.(Adv. Mater., 2020, DOI:10.1002/adma.202002940)
通讯作者简介
中科院过程工程研究所马光辉研究员和魏炜研究员团队自2006年起对先进疫苗递送系统进行了率先探索和深入研究,发现和创制了一系列疫苗新剂型,解决了抗原免疫原性差、生物利用度低等难题,在肿瘤、乙肝、流感等重大疾病和传染病的预防和治疗上取得显著疗效,部分剂型已通过伦理批准进入临床前和临床研究,相关工作相继发表于Nat. Mater., 2018, 17, 187、Nat. Commun., 2017, 8, 14537、Sci. Adv., 2020, 6, eaay7735、Adv. Mater., 2018, 31, 1801067、Adv. Sci., 2017, 4, 1700083、ACS Cent. Sci., 2019, 5, 796、Small, 2018, 14, 1704272、Biomaterials, 2015, 41, 1等期刊上。
北京生物技术研究所王恒樑研究员和朱力副研究员团队长期致力于细菌多糖结合疫苗的生物合成研究,采用具有自主知识产权的细菌蛋白O-糖基化系统成功合成了针对志贺氏菌、甲型副伤寒沙门氏菌、布氏杆菌等新型疫苗,革新了传统的细菌多糖结合疫苗制备方法,相关工作相继发表于ACS Appl. Mater. Interfaces, 2019, 11, 44933、mBio., 2016, 7, e00443-16、npj Vaccines, 2018, 3, 4、Microorganisms, 2020, 8, 436等期刊上,授权国内专利2项。
本文由CQR编译。
欢迎大家到材料人宣传HTH官网地址 成果并对文献进行深入解读,投稿邮箱:tougao@cailiaoren.com.
投稿以及内容合作可加编辑微信:cailiaorenvip.





