【成果速递】
近日,丹麦技术大学的C. Roy(第一作者)等人在I. Chorkendorff (通讯作者)教授的指导下,在国际顶级期刊Nature Catalysis上发表了文章:Impact of nanoparticle size and lattice oxygen on water oxidation on NiFeOxHy。本文中,研究者们使用质量选择的NiFe纳米粒子和同位素标记实验的模型系统,揭示了1M KOH中的氧气释放不通过晶格交换进行。研究者们使用原位电化学-质谱法,以及非原位的透射电子显微镜和低能离子散射光谱来进行测试分析。与粒径趋势一致,同位素结果表明氧气的产生仅限于近表面区域。利用颗粒的表面积,研究者们确定在0.3V的过电位下催化水氧化的转换频率为6.2±1.6 s-1,这是碱性溶液中氧气释放性能的最高值。
【夺目亮点】
- 合成了一系列具有质量和尺寸选择性的NiFe纳米颗粒作为模型催化剂进行研究,搭建了一个很好的可对比的机理研究平台;
- 使用一系列严谨充分的表征手段,特别是电化学质谱以及O18同位素标记实验,论证充分,结果可信;
- 揭示了在1M KOH中的氧气释放不通过晶格交换进行;
- 揭示了负责催化性能的活性位点仅位于纳米颗粒的~3个原子层厚的氧化还原活性近表面区域;
- 本文的最有催化剂在3V的过电位下催化水氧化的转换频率为6.2±1.6 s-1,这是碱性溶液中氧气释放性能的最高值。
- 最佳催化剂可以连续稳定超过1000个小时。
【为什么要做这个课题?】
- 可再生能源比如太阳能和风能的不连续性使得对可再生能源的储存变成了至关重要的挑战,而通过水裂解将其转化为化学能是很有希望的解决途径;
- 析氧反应是水裂解反应的瓶颈;
- 尽管早在十九世纪Ni(Fe)OxHy就已经被用于水裂解,但是其催化机理至今仍存争议;
- NiFeOxHy活性极高,研究清楚其催化机理意义重大。
【我们是怎样进行研究的?】
图1. 沉积质量选择的纳米颗粒。

a,A d.c. 磁控溅射,气体聚集质量选择纳米粒子源与横向时间飞行质量过滤器。 将质量选择的NiFe纳米颗粒沉积在多晶金盘上用于活性测量。b,四种不同质量的NiFe纳米颗粒的TEM图像 c,使用在b中的TEM图像上测量的直径确定的尺寸分布显示每个沉积的质量的平均尺寸和2σ.
图2. 沉积的6.7nm NiFe颗粒的非原位表征。
a,沉积(b,d)和电化学测试(c,e)后的纳米颗粒的LEIS光谱,b-e,XPS光谱(b,c)和SEM(d,e)。 LEIS光谱归一化为Au峰的高度。对于Ni 2p 3/2(b)和Fe 2p 3/2(c)区域显示的XPS光谱经过电荷校正,并在减去Shirley背景后用Au 4f峰面积归一化。在相同位置拍摄SEM图像以评估抗烧结和腐蚀的能力。
图3. NiFe纳米粒子在1.6 VRHE在1M KOH中的稳定性。
在1.6 V vs RHE下,~100 ng 6.7 nm NiFe纳米颗粒的质量活性,在1M KOH中具有电流中断(iR)校正。
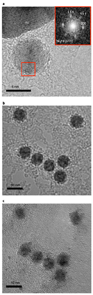
图4. 使用HRTEM研究颗粒。
沉积在Au TEM网格上的6.7nm(950×103amu)NiFe纳米颗粒的HRTEM图像。 a,纳米粒子的HRTEM图像。 插图:突出显示区域的傅里叶变换显示Ni3Fe相。 b,c,在(b)和(c)电化学氧化之前的纳米颗粒的相同位置HRTEM图像
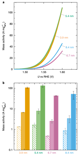
图5. NiFe纳米粒子的催化活性。
对于每种纳米颗粒尺寸,代表性NiFeOxHy纳米颗粒样品的CV为10mV s-1。电流归一化为总金属质量负载。b,η= 270(阴影线),300(较浅阴影)和370 mV(较暗阴影)的大规模标准化活动。平均质量活动和s.d. 来自三个独立样本。所有活性测量均在Au基底上在N2饱和的1M KOH中以1,600转/分钟进行。由纳米颗粒沉积电流确定金属质量。
图6. TOF作为尺寸的函数,并与现有技术的非贵金属催化剂进行比较。
a,TOF由NiF纳米粒子的总金属质量(TOFbulk),Ni氧化还原峰(TOFredox)和估算的表面原子(TOFsurface)计算,在η= 300 mV,在N2饱和的1.0 M KOH中测量,10 mV s-1作为粒径的函数。 Ni氧化还原峰用于测量NiFe薄膜的TOF。 y轴误差条来自三个独立样本。 b,碱性中最先进的非贵金属OER催化剂的TOF。
图7. 同位素标记实验程序。
同位素标记实验的示意图。程序a使用H216O氧化纳米颗粒和H218O氧气析出,而程序b则相反。方法c使用18O2气体氧化NiFe,并且在16O水中进行氧气释放。在表示中,M是指Ni和Fe金属原子。
图8. EC-MS和LEIS来自同位素标记实验,使用程序a。
a,用16O样品制备后H218O电解液中的第一次线性扫描伏安法。在用16O进行样品制备后的第一电化学电位循环期间,在用H218O制备的0.1M KOH中,在氧气释放期间检测到16O18O(m/z = 34)(红线)的校准质谱仪信号。由于电解质的组成而没有晶格交换而预期的16O18O信号是共同绘制的(绿线),其是18O2(m/z = 36)信号的恒定分数。还包括m/z = 34信号的模拟,如果氧化催化剂所含的总16O的1%在5s(品红色),15s(青色)或45s(蓝色)中为18O16O。插图是NiFeOxHy纳米颗粒上的18O电解质中的析氧反应的示意图。b,来自同一实验的电位(黑色)和电流(灰色)。c,在EC-MS实验(紫色)之后和溅射之后(蓝色)沉积(灰色)样品的LEIS光谱。
【总结】
科学家们使用充分表征的质量选择的Ni和Fe纳米颗粒作为模型系统来研究它们在氧气释放条件下的基本性质。使用LEIS光谱学和基于微芯片的EC-MS设置提供了对高性能反应和起源的基本见解。在1.6 V vs RHE下,颗粒在1,000小时内显示出极高的活性和稳定性。在三种不同方法之后进行的同位素标记实验表明,催化反应释放的氧气中没有晶格氧或插层水分子的参与。因此,研究者们得出结论,负责催化性能的活性位点仅位于纳米颗粒的~3个原子层厚的氧化还原活性近表面区域,但是为了确定活性是否限于外表面还需要对该区域内的离子迁移机制进行更加深入的认识。将活性归一化到外表面,可以大得到催化剂催化析氧反应的TOF为6.2±1.6s-1,ɳ= 0.3V,这是迄今为止报道的最好的催化效果。研究者们最后强调:催化活性的进一步增强应集中于在近表面区域特定原子,而不是催化剂的体相。
文章链接:Impact of nanoparticle size and lattice oxygen on water oxidation on NiFeOxHy。(Nature Catalysis, 2018, 820–829)
本文由材料人编辑部新能源材料学术组艾超供稿,材料牛编辑整理。





