【引言】
帕金森病是一种慢性的中枢神经系统退化性失调,会损害患者的动作技能、语言能力以及其他功能,其临床表现主要包括静止性震颤、运动迟缓、肌强直和姿势步态障碍,同时患者可伴有抑郁、便秘和睡眠障碍等非运动症状。最近,不断有证据表明帕金森病的发病机制与中脑中α-共核蛋白聚集体的积累和传递有密切的关系。然而,临床上依然没有抗聚集剂是实现帕金森病的有效治疗。
【成果简介】
近日,韩国首尔国立大学Byung Hee Hong教授课题组与约翰霍普金斯大学医学院的Han Seok Ko教授合作,探索利用石墨烯量子点来抑制α-共核蛋白的纤维化聚集,并尝试其与成熟的原纤维直接相互作用引发α-共核蛋白原纤维的解聚。研究表明,石墨烯量子点能够穿透血脑屏障并有效抑制金森病中的α-共核蛋白形成纤维化聚集体。此外,石墨烯量子点在体外和体内均没有明显的体内毒性,有望成为治疗帕金森病的临床药物。该成果以题为”Graphene quantum dots prevent α-synucleinopathy in Parkinson’s disease”发表在Nature Nanotechnology上。
【图文导读】
图1 石墨烯量子点对α-共核蛋白纤维化和纤维解体的影响

(a) 在有无石墨烯量子点条件下α-共核蛋白纤维化和纤维解体的示意图;
(b) ThT荧光监测的α-共核蛋白纤维化动力学过程;
(c) 浊度测定监测的α-共核蛋白纤维化动力学过程;
(d) 在有无石墨烯量子点条件下α-共核蛋白纤维化后的TEM照片;
(e) ThT荧光监测的石墨烯量子点与预先形成的α-共核蛋白原纤维作用的动力学过程;
(f) 浊度测定监测的石墨烯量子点与预先形成的α-共核蛋白原纤维作用的动力学过程;
(g) α-共核蛋白纤维长度和每平方微米内α-共核蛋白纤维数目的统计;
(h) 石墨烯量子点作用条件下剩余α-共核蛋白原纤维的数目统计;
(i) 在有无石墨烯量子点条件下不同时间点时预先形成的α-共核蛋白原纤维的TEM照片;
(j) 不同时间点时α-共核蛋白原纤维斑点印迹分析的典型图像;
(k) 不同时间点时α-共核蛋白原纤维的BN–PAGE 分析。
图2 石墨烯量子点与成熟α-共核蛋白原纤维在解离过程中的相互作用

(a) 生物素化的石墨烯量子点与α-共核蛋白原纤维结合的TEM照片;
(b) 孵化1小时后在解离过程中α-共核蛋白原纤维平均宽度的统计;
(c) 通过1H–15N HSQC 谱图中得到的核磁化学位移差异;
(d) 石墨烯量子点与成熟α-共核蛋白原纤维间相互作用的时间过程动力学模拟;
(e) α -共核蛋白原纤维对照组和石墨烯量子点与成熟α-共核蛋白原纤维组的时间依赖谱图;
(f) 由DSSP算法得到的时间依赖的二级结构图;
(g) 有无石墨烯量子点条件下孵化7天后α-共核蛋白单体和原纤维的CD光谱;
(h) α-共核蛋白原纤维和石墨烯量子点解离的α-共核蛋白原纤维中二级结构含量。
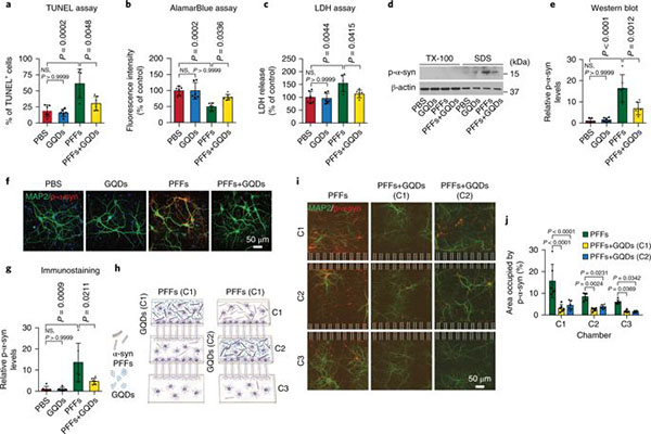
图3 石墨烯量子点对α-共核蛋白原纤维诱导神经元死亡,病理和体外传递影响

(a) 有无石墨烯量子点条件下用α-共核蛋白原纤维处理时TUNEL方法评估的神经元死亡情况;
(b) 有无石墨烯量子点条件下用α-共核蛋白原纤维处理时阿尔玛蓝方法评估的神经元死亡情况;
(c) 有无石墨烯量子点条件下用α-共核蛋白原纤维处理时LDH测定方法评估的神经元死亡情况;
(d) 磷酸化α-共核蛋白原纤维存在条件下的典型免疫印迹水平;
(e) 标准化至β-肌动蛋白的水平后SDS不溶性级分的量化;
(f) 抗体存在条件下典型的磷酸化α-共核蛋白免疫染色显微照片;
(g) 标准化至PBS对照组后磷酸化α-共核蛋白免疫荧光强度的量化;
(h) 用于病理性α-共核蛋白传播的微流体装置示意图;
(i) 添加α-共核蛋白原纤维14天后微流体装置中磷酸化α-共核蛋白免疫染色神经元的典型图片;
(j) 磷酸化α-共核蛋白免疫荧光强度的量化。
图4 石墨烯量子点对体内α -共核蛋白诱导的病理学影响

(a) 在C57BL/6小鼠中注射预先形成的α-共核蛋白原纤维的注射坐标示意图;
(b) 有无石墨烯量子点条件下在预先形成的α-共核蛋白原纤维半球注射黑质中典型的TH免疫组织化学图像;
(c) 有无石墨烯量子点条件下预先形成的α-共核蛋白原纤维注射6个月后黑质中TH-和Nissl-阳性神经元的体视计数;
(d) 在预先形成的α-共核蛋白原纤维注射的纹状体半球中典型的TH免疫组织化学图像;
(e) 纹状体中TH免疫阳性纤维密度的量化;
(f) 在气缸测试中用前爪测量的行为缺陷评估;
(g) 通过掌握和下降的能力来评估行为缺陷;
(h) 在预先形成的α-共核蛋白原纤维注射的纹状体和黑质半球中典型的免疫染色图像;
(i) 在纹状体和黑质中α-共核蛋白原纤维免疫反应神经元的量化;
(j) 注射预先形成的α-共核蛋白原纤维半球的中枢神经系统中的病理分布图。
【小结】
本文报道了石墨烯量子点能够有效地抑制帕金森病发病机制涉及的α-共核蛋白的纤维化聚集。而且,石墨烯量子点可以穿透血脑屏障以及其在体内长期没有明显毒性等特点使得石墨烯量子点成为治疗帕金森病的潜在药物。通过对石墨烯量子的适当修饰,还有望能够开发用于治疗蛋白异常聚集导致的神经性障碍的新型药物。
文献链接:Graphene quantum dots prevent α-synucleinopathy in Parkinson’s disease (Nat. Nanotechnol. ,2018, DOI: 10.1038/s41565-018-0179-y)
本文由材料人高分子和生物学术组Gaxy供稿,材料牛审核整理。材料牛网站专注于跟踪材料领域HTH官网地址 及行业进展,这里汇集了各大高校硕博生、一线科研人员及行业从业员,如果您对于跟踪材料领域HTH官网地址 进展,解读高水平文章或评述行业有兴趣,点我加入材料人编辑部。
欢迎大家到材料人宣传HTH官网地址 成果并对文献进行深入解读,投稿邮箱tougao@cailiaoren.com。
投稿及内容合作可加编辑微信:cailiaorenkefu。





