当前位置: 材料牛 » HTH官网地址 » 导读 » 北京化工大学闫寿科课题组Macromolecules:高温松弛和重结晶导致定向聚乙烯分子超薄膜中不对称叶状晶体的形成

北京化工大学闫寿科课题组Macromolecules:高温松弛和重结晶导致定向聚乙烯分子超薄膜中不对称叶状晶体的形成

引言

聚合物从各向同性的熔融或稀溶液中结晶,倾向于形成折叠链片晶。然而,聚合物从分子链预取向的熔体(各向异性熔体)结晶在成核、结晶动力学、晶体结构和结晶形态等方面与从各向同性熔体结晶显著不同。例如,未完全熔融或非完全处于平衡态的具有局部有序链段的全同立构聚丙烯(iPP)纤维状微晶能够诱导iPP b-晶生长。基于对不同聚合物剪切熔体的结晶研究,Alfonso等人发现分子链松弛到平衡态的过程在很大程度上取决于温度和分子量。他们发现,剪切诱导的晶核前驱体的寿命可达几个小时。由于各向异性熔体结晶产生的特定晶体与形态结构能够显著提高聚合物材料的机械性能,对特殊晶体与形态结构的研究受到了广泛关注。Hikosaka等人利用高度拉伸的聚合物熔体制备了机械性能优异的iPP和聚对苯二甲酸乙二酯 “取向纳米晶体”。

成果简介

北京化工大学闫寿科和德国弗赖堡大学Gunter Reiter通过熔融拉伸法制备了高度取向聚乙烯(PE)超薄膜,对其退火重结晶进行了研究。光学和原子力显微镜观察到大量由有序片晶组成的无规取向的不对称叶状晶体结构。掠入射X射线衍射证明无规取向的不对称叶片状晶体的某些区域由轻微倾斜的规整平躺片晶组成,而某些区域则是由取向程度较低的侧立片晶组成。这两中截然不同的区域均与各向同性熔体结晶产生的球晶结构明显不同。随退火温度或退火时间的增加,薄膜的形态结构从叶片状晶体演变为球晶结构。这种形态结构演变所需的退火时间比最长的本体弛豫时间长约四个数量级。由于只有处于平衡状态的各向同性熔体结晶产生球晶结构,说明熔体拉伸制备的PE超薄膜中的取向链具有长期记忆。基于PE膜的形态和松弛动力学在很大程度上取决于基底的性质和膜的厚度,总结了PE链与基底相互作用以及薄膜空间受限作用对叶片状晶体结构形成的影响。这些结果可能为理解加工过程导致的取向聚合物链的缓慢松弛和重组过程提供新思路。该成果以题为Formation of Asymmetric Leaf-Shaped Crystals in Ultrathin Films of Oriented Polyethylene Molecules Resulting from High-Temperature Relaxation and Recrystallization发表在国际著名期刊Macromolecules

【图文导读】

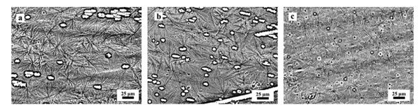
1. PE取向薄膜135oC退火10分钟后,以5oC/min冷却至(a117oC 和(b115oC时光学显微镜观察到的大量叶片状晶体。

2. 熔体拉伸PE膜不同放大倍率的AFM高度图

3. 退火后的PE薄膜在不同分辨率下的AFM高度和相位图

4. PE取向薄膜退火前后的入射X射线衍射

5. 载玻片表面单层PE膜退火后不同放大倍率的AFM高度图

6. 云母表面单层PE膜退火后不同放大倍率的AFM高度图

7. 硅片表面双层PE薄膜135oC退火10分钟后以5oC/min冷却至室温的AFM高度图

8. 硅片表面60, 105155纳米厚的PE薄膜退火后的AFM高度图

9. 双层PE薄膜150oC退火101518分钟后以5oC/min冷却至室温的光学显微镜照片

10. 双层PE薄膜150oC退火101518分钟后以5oC/min冷却至室温的AFM高度图

【总结】

高度取向的PE超薄膜在135oC短时间退火未能转变为各向同性的熔体。因此,重结晶后产生大量的由有序片晶组成的无规取向不对称叶状晶体结构。这些不对称叶状晶体由截然不同于各向同性熔体结晶产生的球晶结构的两部分组成。部分叶片状晶体由平躺片晶组成,这些平躺片晶显示出层状倾斜。然而,平躺片晶的倾斜与环带球晶不同,没有固定的扭曲周期。另一部分叶片状晶体由取向程度较低的侧立片晶组成。提高退火温度或延长退火时间,重结晶后产生常规的球晶结构。这种高度取向的PE超薄膜,从叶状晶体转变为球晶所需的退火时间比最长的本体松弛时间至少长四个数量级。此外,还发现基底性质和薄膜厚度也是影响PE薄膜松弛动力学的重要因素。但是,取向PE薄膜的长松弛时间主要归因于空间受限。将产生球晶所需的退火时间关联为拉伸取向PE链平衡态松弛时间,说明拉伸取向PE超薄膜中的取向分子链具有长期记忆。

文献链接Formation of Asymmetric Leaf-Shaped Crystals in Ultrathin Films of Oriented Polyethylene Molecules Resulting from High-Temperature Relaxation and Recrystallization. Macromolecules, 2019, DOI: 10.1021/acs.macromol.9b02021.

本文由tt供稿。 

欢迎大家到材料人宣传HTH官网地址 成果并对文献进行深入解读,投稿邮箱tougao@cailiaoren.com。

投稿以及内容合作可加编辑微信:cailiaorenvip。 

未经允许不得转载:材料牛 » 北京化工大学闫寿科课题组Macromolecules:高温松弛和重结晶导致定向聚乙烯分子超薄膜中不对称叶状晶体的形成

相关文章

Baidu
map