【背景介绍】
由病原性细菌引发的严重传染病受到了全世界的广泛关注。目前,临床上为了解决致病菌的感染问题而过度的使用抗生素,使得病原体产生了强的耐药性。因此,迫切需要新型且有效的抗菌材料以减少对抗生素的依赖。虽然目前已开发了多种抗菌材料,但是这类单一杀菌模型的抗菌材料难以实现高效杀菌或接近100%灭菌消毒,并且在杀菌过程中也容易诱导细菌产生耐药性。根据以往的报道,已用于肿瘤治疗的化学光热疗法在杀菌方面具有很大的应用潜力,然而,这也存在相关纳米抗菌制剂制备复杂等不足。目前,金属有机框架(MOFs)已被证明是一类新的多功能纳米材料或前体,可以用于制备多功能纳米碳材料。基于MOFs的纳米碳材料具有高光热转换效率、金属原子易于掺杂和多孔结构的大比表面积等优点。因此,将化学光热疗法和MOFs基纳米碳材料的优点结合起来用于灭菌及消毒具有巨大的研究应用价值。
【成果简介】
近日,四川大学高分子科学与工程学院的程冲研究员/赵长生教授研究团队及华西医院的马朗副研究员联合报道了一种具有近红外(NIR)响应和尺寸可变的MOFs基纳米碳材料用于杀菌和消毒。作者首先合成了具有化学光热杀菌能力的MOFs衍生的纳米碳。然后涂覆具有热响应凝胶层以获得用于细菌捕获的ON-OFF转换能力。其中,制备的纳米碳在NIR照射下表现出高效的光热转换能力以及从纳米分散体到微米聚集体的快速尺寸转变,因而使得纳米碳能够局部产生大量的热量,并利用掺杂的Zn2+以直接破坏细菌膜和细胞内蛋白质。这种纳米碳不仅在非常低的剂量下表现出接近100%的杀菌率,而且还表现出与万古霉素相当的高效且安全的伤口消毒性能。总之,这种新型的纳米碳具有强大的局部化学光热杀菌能力,并且具有很大的潜力用于广谱杀死病原菌。研究成果以题为“Size-Transformable Metal-Organic Framework–Derived Nanocarbons for Localized Chemo-Photothermal Bacterial Ablation and Wound Disinfection”发表在国际著名期刊Adv. Funct. Mater.上,硕士生杨晔和邓伊依为共同第一作者。
【图文解读】
图一、ZnO-CNP-TRGL的合成与表征
(a)ZnO-CNP-TRGL合成方法的示意图;
(b)ZnO-CNP-TRGL的高分辨率TEM照片;
(c)ZnO-CNP-TRGL的HAADF-STEM照片和EDS元素分布;
(d)ZIF-8、ZnO-CNP和ZnOCNP-TRGL的SEM照片;
(e)纯ZnO、ZIF-8和ZnO-CNP-TRGL的XRD图谱;
(f)ZnO-CNP-TRGL的XPS全谱;
(g, h)ZnO-CNP-TRGL的C1s和N1s分谱。
图二、不同尺寸纳米碳的光热转换能力、Zn2+释放能力和细胞毒性
(a, b)光热图像(a)和(b)对照介质ZnO-CNP-TRGL的悬浮液的温度曲线;
(c)在不同功率密度下样品的温度变化;
(d, e)(d)12 h和(e)21 d内从ZnO-CNP-TRGL释放累积的Zn2+;
(f)不同浓度的ZnO-CNP-TRGL的CCK-8测定;
(g)人脐静脉内皮细胞(HUVEC)和用ZnO-CNP-TRGL孵育的HUVEC的活死染色图;
(h, i)用于在不同粒径(h)和不同剂量(h)下与ZnO-CNP-TRGL孵育的HUVEC的活死细胞数。
图三、纳米碳的光热触发尺寸转变
(a, b)在NIR照射前后的ZnO-CNP-TRGL溶液的光学显微镜照片;
(c)亲水性分散和疏水性微米聚集的ZnO-CNP-TRGL尺寸转变的图,LCST是较低的临界溶解温度;
(d, e)在NIR照射前分散ZnO-CNP-TRGL和在NIR照射后聚集ZnO-CNP-TRGL的TEM照片;
(g, f)在NIR照射前后的ZnO-CNP-TRG的DLS数据;
(h)ZnO-CNP和ZnO-CNP-TRGL的尺寸随温度的变化而变化。
图四、光热诱导的纳米碳细菌聚集
(a, b)在NIR照射5 min前后,ZnO-CNP-TRGL孵育金黄色葡萄球菌后的TEM照片;
(c)温度变化期间金黄色葡萄球菌的细菌存活率百分比;
(d-f)金黄色葡萄球菌的活/死荧光图像在(d)25 ℃、(e)40 ℃和(f)57 ℃;
(g, h)在NIR照射5 min前后,用ZnO-CNP-TRGL孵育大肠杆菌的TEM照片;
(i)温度变化期间大肠杆菌的细菌存活率百分比;
(j-I)大肠杆菌的活/死荧光图像在(j)25 ℃、(k)40 ℃和(I)57 ℃。
图五、局部产生大量的热和Zn2+离子的释放
(a)ZnO-CNP-TRGL纳米碳的抗菌机理示意图;
(b)在NIR照射前后与纳米碳共培养的细菌切片的TEM图和相应的EDS图;
(c)纳米碳细菌聚集的SEM图和相应的EDS图。
图六、纳米碳的体外光热抗菌活性
(a)研究ZnO-CNP-TRGL的抗菌机理的不同实验组;
(b, c)琼脂平板照片和如(b)中所述在不同条件下处理的金黄色葡萄球菌的OD600值;
(d)ZnO-CNP-TRGL在不同条件下的抗菌效果;
(e)不同功率密度下,100%杀死金黄色葡萄球菌的照射时间。
图七、伤口消毒和愈合的体内评估
(a)组合ZnO-CNP-TRGL和NIR治疗感染的脓肿的示意图;
(b)在ZnO-CNP-TRGL处理期间兔脓肿的热图;
(c)scab的SEM图像和EDS元素分布。
图八、对脓肿的治疗效果评估
(a)1天、1周和2周后金黄色葡萄球菌感染脓肿照片;
(b)不同处理后脓肿的大小变化;
(c)从琼脂平板计数的活金黄色葡萄球菌数量,在第1天的不同处理后细菌被吸入脓肿。
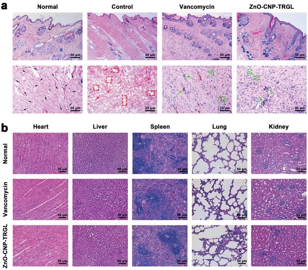
图九、组织切片
(a)2周后用不同处理的皮肤组织的H&E染色图像;
(b)2周后兔的重要脏器组织切片的H&E染色图像。
【总结】
综上所述,作者成功合成了具有NIR响应和尺寸可变的MOFs基纳米碳材料以用于快速、安全和协同的化学光热疗法杀菌和伤口消毒。制备的ZnO-CNP-TRGL不仅具有较高的光热转换效率和逐渐释放Zn2+离子的能力,而且在NIR照射下还具有从纳米分散体到微米聚集体的快速尺寸转变,是具有ON-OFF切换功能的智能纳米制剂,可实现快速和可控的杀灭细菌。这些独特的物理化学特性使得该纳米碳能够原位黏附和包裹细菌,形成聚集体并持续产生大量的热,以及释放Zn2+直接破坏细菌膜和细胞内蛋白质以增强化学光热抗菌性能。实验结果表明这些纳米碳不仅在极低剂量下具有接近100%的杀菌率,而且还具有高效且安全的皮肤伤口消毒能力。总之,这种新型尺寸可转变的抗菌纳米碳具有强大的局部化学光热杀菌和消毒能力,并具有很大的潜力用于广谱的杀死致病菌。
四川大学高分子学院程冲研究员及赵长生教授研究团队长期致力于设计有机-无机杂化的先进低维功能材料及开发其在生物医药、血液净化、及电化学催化等领域的应用,特别是基于纳米碳材料及新型配位聚合物等的微纳米结构设计、功能调控、大规模制备、及前沿应用开发。研究团队目前已经与国内外十余个实验室开展了密切交流合作。近年来在智能纳米制剂(Adv. Funct. Mater., 2019, 28, 1900143; Nano Today, 2019, https://doi.org/10.1016/j.nantod.2019.03.003; Adv. Funct. Mater. 2018, 28, 1705708; Acta Biomater. 2017, 51, 479)、石墨烯基复合生物材料(Chem. Rev., 2017, 117, 1826; Adv. Mater., 2018, 30, 1705452; ACS Appl. Mater. & Interfaces, 2018, 10, 296)、以及金属有机框架和杂原子参杂的多孔碳催化材料(Adv. Mater., 2018, 30, 1802669; Adv. Funct. Mater., 2019, 29, 1807419.)等领域做了系统深入的研究,并取得了一系列重要研究成果。
该工作得到了国家自然科学基金委,HTH官网地址
部重点研发专项,海外高层次人才引进“青年千人”计划,洪堡基金会,国家留学基金委等基金的资助与支持。
文献链接:Size-Transformable Metal-Organic Framework-Derived Nanocarbons for Localized Chemo-Photothermal Bacterial Ablation and Wound Disinfection(Adv. Funct. Mater., 2019, DOI:10.1002/adfm.201900143)
通讯作者简介
程冲研究员:主要从事有机无机杂化的先进低维功能材料在生物医药及能源催化领域的应用,特别是基于新型配位聚合物的微纳米结构设计,功能调控,大规模制备,及前沿应用开发。第十五批国家中组部“青年千人计划”及四川大学“双百人才工程”计划入选者、洪堡学者、DRS Point学者,2019年加入四川大学高分子学院材料系并成立先进低维材料实验室。迄今为止,在包括Chem. Rev., Adv. Mater., Nano Today, Nano Lett., Angew. Chem. Int. Ed., Adv. Funct. Mater., ACS Appl. Mater. Interfaces, Acta Biomater., ACS Macro Lett., Biomacromolecules等材料、高分子、生物医学领域的国际主流期刊上发表SCI论文近80篇,论文总引用达3500余次,H-index为34。2015年被评为英国皇家化学会高被引作者 (top 1%)。
赵长生教授:主要从事生物医用高分子膜材料,及功能高分子材料的研究。在生物材料、高分子化学与材料表面改性领域有丰富的研究经验。享受政府特殊津贴,国务院第七届学科评议组成员,中国生物材料学会常务理事,教育部高分子材料专业教指委委员,中国工程教育认证协会材料类专委会委员,高分子材料专业及复合材料专业召集人。2005年教育部“新世纪优秀人才支持计划”入选者。2012年国家杰出青年科学基金获得者。2014年获得国家HTH官网地址 进步二等奖。2016年获中组部“万人计划”-中青年HTH官网地址 创新领军人才。承担1个国家攻关课题、9个国家自然科学基金项目(包括1个基金重点项目和杰出青年科学基金项目)等多个横向纵向研究课题。申请中国发明专利19项,其中授权15项,转让7项。在Progress in Materials Science, Progress in Polymer Science, Nano Today, Nano Letters, Advanced Functional Materials, Biomaterials, Journal of Materials Chemistry A/B, Biomacromolecules, ACS Applied Materials & Interfaces, ACS Macro Letters, Journal of Membrane Science等国际重要期刊上发表SCI论文200余篇,SCI他引5000余次。
马朗副研究员:主要集中在纳米酶的合成和仿细胞结构的设计方向,并结合声动力治疗等技术应用于类风湿关节炎、皮肤黑色素瘤和抗菌等研究领域。目前为四川大学华西医院超声影像药物研究室副研究员,已陆续在Nano Today, Adv. Mater., Nano Lett., Adv. Funct. Mater., ACS Appl. Mater. Interfaces, Acta Biomaterialia, ACS Macro Lett., Biomacromolecules等材料、高分子、生物医学领域的国际主流期刊上发表SCI论文40余篇,论文总引用达1500余次,H-index为24,申请和授权专利3项。
本文由材料人CQR编译。
欢迎大家到材料人宣传HTH官网地址 成果并对文献进行深入解读,投稿邮箱tougao@cailiaoren.com.
投稿以及内容合作可加编辑微信:cailiaokefu.





