【引言】
在临床医学影像学中,超声是最方便、最便宜、无辐射、最常见的设备。微米尺寸的全氟化碳泡沫被用作血管内超声的有效对比,但对肿瘤的穿透作用太大。微滴(250-1000 nm)封装全氟化碳和药物都被用作超声引起释放抗癌药物交付平台,但它们通常不会是有用的肿瘤显像剂。纳米气泡(NBs)生成和聚结的随机瞬态特性使得利用纳米液滴作为超声造影剂对肿瘤成像是不可靠的。事实上,大多数纳米微滴的研究都与它们在肿瘤部位的超声触发药物释放有关。
【成果简介】
近日,中山大学的帅心涛教授,中山大学第三附属医院的郑荣琴和加州大学的Kit S. Lam教授(通讯作者)等人开发一种具有PH敏感性的、基于聚合物的、全氟化碳封装的超声纳米探针,在循环过程中能够维持在178 nm,在酸性肿瘤微环境中增加到437 nm。其体积小,可被肿瘤吸收。在肿瘤部位膨胀,从而降低了全氟化碳的蒸发阈值,有效地将纳米颗粒转化为超声显像的超声纳米微气泡,并利用低频率超声引起,最终从热纳米探针中释放出用于深层组织化学治疗的DOX,达到治疗肿瘤的目的。研究成果以题为“Size-Modulable Nanoprobe for HighPerformance Ultrasound Imaging and Drug Delivery against Cancer”发布在国际著名期刊ACS Nano上。
【图文导读】
图一、从多刺激敏感性中提取的体内可调节尺寸和性能的材料纳米管示意图

图二、PH敏感共聚物的表征

(a) 化学结构有两个不同的PH值;
(b) DMSO-d6中PH敏感共聚物的1H NMR谱;
(c) D2O溶液中mPEG-PAsp(DEA-co-His-co-DIP)在不同pD下的1H NMR谱对比图。
图三、基于聚合体的逐步刺激、逐步调节纳米探针的形貌

(a)不同PH值的TEM图,及温度对材料的影响;
(b)材料形态说明示意图;
(c)不同条件下的PFP/PFB/DOX-PPEHD纳米探针的体外功率多普勒成像;
(d)DOX的荧光强度图;
(e)不同条件下的PFP/PFB/DOX-PPEHD纳米颗粒水溶液的粒径变化。
图四、纳米蛋白在体内增强肿瘤成像
(a)DiR荧光成像显示PFP/PFB/DiR-PPEHD纳米孔在不同时间点的肿瘤积累,后静脉注射入裸鼠C6胶质肿瘤;
(b)在37oC和45oC时,以肿瘤为中心的能量多普勒超声对动物的尾静脉注射PFP/PFB/DOX-PPEHD纳米颗粒。
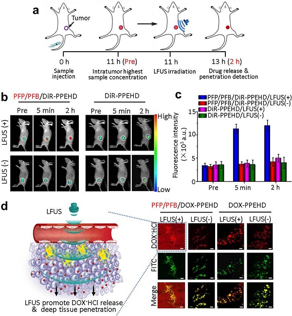
图五、低频超声引发内含子药物释放和肿瘤穿透药物的传递
(a) 低频超声(LFUS)促进体内药物释放和渗透的示意图;
(b) DiR的体内荧光成像;
(c) 在暴露前后不同时间点对肿瘤的荧光强度的定量分析;
(d)共聚焦激光扫描显微镜观察C6神经胶质瘤的冷冻切片。
图六、低频超声(LFUS)改善纳米孔的抗肿瘤活性
(a) PFP/PFB/DOX-PPEHD和低频超声(LFUS)联合治疗抑制肿瘤生长的示意图;
(b) 肿瘤抑制率;
(c) 不同治疗配方的尾静脉注射后的裸鼠的累积存活率;
(d)第一次治疗后30天的C6胶质瘤切片的组织学H&E分析(蓝色:细胞核, 红色:细胞外基质和细胞质)。
【小结】
研究了一种PH敏感的聚合体来包裹液体PFC和DOX,形成一个178 nm的纳米粒子,它可以通过EPR效应有效的进入肿瘤,然后在进入酸性肿瘤微环境扩展的437 nm。同时,利用皮下C6胶质瘤异种移植模型,证明了这种纳米颗粒具有通过EPR效应维持长时间循环和肿瘤积累的纳米尺寸的能力。在肿瘤微酸环境(PH=6.8),这种纳米颗粒自我膨胀,通过红外线或低频超声,在局部加热的情况下,被囊化的碳氟化合物发生了与温度有关的相变,进入气体,超声成像可检测到回声的显著增加。在肿瘤部位的低频超声照射,使得DOX快速释放和肿瘤吸收,有更好的肿瘤治疗效果。此外,低频超声(LFUS)协助释放显示了肿瘤穿透药物扩散,克服了纳米载体可能无法有效的将药物输送到远离血管的肿瘤组织的挑战。
文献链接:Size-Modulable Nanoprobe for HighPerformance Ultrasound Imaging and Drug Delivery against Cancer(ACS Nano, 2018, DOI: 10.1021/acsnano.8b00076)
本文由材料人编辑部小胖纸编译, 点我加入材料人编辑部。
材料测试,数据分析,上测试谷!





